Arteria nutricia
| Arteria nutricia | ||
|---|---|---|
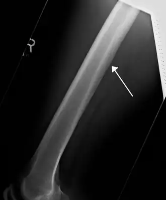
![]() Radiografía mostrando una arteria nutricia irrigando el fémur. | ||
| Nombre y clasificación | ||
| Latín |
[TA]: arteria nutricia; [TA]: arteria nutriens | |
| TA | A12.0.00.004 | |
| Gray | pág.88 | |
|
| ||
Se conoce como arteria nutricia (TA: arteria nutriens) a cualquier arteria que irriga la médula ósea de un hueso largo.[1]
Ejemplos de arterias nutricias son:[1]
- La arteria nutricia de la tibia (arteria nutriens tibiae, arteria nutricia tibia). Se origina en la arteria tibial posterior. No presenta ramas.
- Las arterias nutricias del fémur (arteriae nutriciae femoris). Se originan en la tercera arteria perforante. No presentan ramas.
- Las arterias nutricias de húmero (arteriae nutriciae humeri, arteriae nutrientes humeris). Se originan en las arterias braquial y braquial profunda. No presentan ramas.
- La arteria nutriente del peroné (arteria nutriens tibiae, arteria nutriens fibulae). Se origina en la arteria peroneal. No presenta ramas.
