Arteria basilar
| Arteria basilar | ||
|---|---|---|
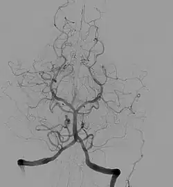
![]() La arteria basilar (centro de la figura) nace de la confluencia de las arterias vertebrales y termina cuando se bifurca en las arterias cerebrales posteriores derecha e izquierda. | ||
| Latín | [TA]: arteria basilaris | |
| TA | A12.2.07.081 | |
| Origen | arterias vertebrales derecha e izquierda | |
| Ramas |
arteria cerebelosa inferior anterior; arteria laberíntica (a veces); arterias pontinas; arterias mesencefálicas; arteria cerebelosa superior; arteria cerebral posterior | |
| Irrigación |
tronco del encéfalo; oído interno; cerebelo; región posterior de los hemisferios cerebrales | |
| Sinónimos | ||
| Enlaces externos | ||
| Gray | pág.34 | |
El sistema vertebro-basilar tradicionalmente conocido como tronco basilar o arteria basilar, se origina en la unión de las arterias vertebrales derecha e izquierda y proporciona sangre oxigenada al cerebro, cerebelo y tronco encefálico.[1] Las dos arterias vertebrales y la arteria basilar juntas, se denominan sistema vertebro-basilar, el que proporciona sangre a la parte posterior del círculo arterial cerebral (conocido como Polígono de Willis) con el cual se anastomosa.
Ramas
Nombre común
Según el Diccionario enciclopédico ilustrado de medicina Dorland, 27ª edición, se ramifica en:
- Ramas colaterales: ramos protuberanciales (o pontinos) y arterias laberíntica, cerebelosa media y cerebelosa superior.
- Ramas terminales: arterias cerebrales posteriores derecha e izquierda.[1]
Las ramas o arterias pontinas (rami ad pontem arteriae basilaris), que no se ramifican, se distribuyen hacia el puente y zonas colindantes del cerebro.[1]
Terminología Anatómica
La Terminología Anatómica ofrece para la arteria basilar el siguiente árbol:
- A12.2.08.019 Arteria cerebelosa anteroinferior (arteria inferior anterior cerebelli; arteria cerebelli anterior inferior)
- A12.2.08.020 Arteria laberíntica (arteria labyrinthi)
- A12.2.08.021 Arterias pontinas (arteriae pontis)
- A12.2.08.022 Ramas mediales de la arteria pontina; ramas pontinas paramedianas (rami mediales arteriae pontis)
- A12.2.08.023 Ramas pontinas circunferenciales (rami laterales arteriae pontis)
- A12.2.08.024 Arterias mesencefálicas (arteriae mesencephalicae)
- A12.2.08.025 Arteria cerebelosa superior (arteria superior cerebelli)
- A12.2.08.026 Rama medial cerebelar de la arteria cerebelosa superior (ramus medialis arteriae superioris cerebelli)
- A12.2.08.027 Rama vermiana superior (arteria vermis superior)
- A12.2.08.028 Rama lateral cerebelar de la arteria cerebelosa superior (ramus lateralis arteriae superioris cerebelli)
- A12.2.07.082 Arteria cerebral posterior (arteria cerebri posterior)
Surco basilar de la protuberancia
Surco anteromedio en la protuberancia anular, que alberga a la arteria basilar.
Trayecto

Nace en la confluencia de las dos arterias vertebrales a la altura de la unión de la médula oblonga (o bulbo raquídeo) con el puente troncoencefálico.
Asciende en el canal central (surco basilar) inferiormente al puente troncoencefálico y se divide en las arterias cerebrales posteriores ACP(derecha e izquierda) y la arteria cerebelosa superior ACS justo por debajo del infundíbulo de la hipófisis.
De la arteria basilar nacen la arteria cerebelosa inferior anterior ACIA, que irriga las regiones superior e inferior del cerebelo, así como ramas más pequeñas que irrigan el puente troncoencefálico, las arterias o ramas pontinas.
Distribución
Se distribuye hacia el tronco del encéfalo, el oído interno, el cerebelo y la región posterior de los hemisferios cerebrales.[1]
Patología

Insuficiencia
La insuficiencia del sistema vertebro-basilar#Insuficiencia Vertebral-Basilar es la patología más frecuente de ese tronco arterial. Se caracteriza por una variedad de síntomas como vértigo, acufenos y trastornos de la marcha.
Trombosis
La trombosis de la arteria basilar puede ser mortal, ya que produce hipoxia e isquemia del tronco encefálico.
Son frecuentes los pronósticos graves, que pueden incluir parálisis de todos los miembros, trastornos acentuados en la sensación, dificultad para la deglución y dificultad para la ventilación pulmonar.
La trombosis de la arteria basilar es la causa más frecuente del síndrome de enclaustramiento (o síndrome Locked-in, SLI, o LIS en inglés).[2]
El tratamiento de la trombosis Basilar es la trombólisis intravenosa o intrarterial reduce la mortalidad y mejora el efecto terapéutico en el AVE agudo, pero el efecto sobre la oclusión de un gran vaso es pobre.
La trombectomía mecánica es un técnica de manejo aceptable para la BAO aguda, porque posee una ventana terapéutica larga y un tasa de recanalización más elevada.[3]
Véase también
Imágenes adicionales
|
Referencias
- ↑ a b c d «Arteria basilar». Diccionario enciclopédico ilustrado de medicina Dorland 1 (27ª edición). McGraw Hill Interamericana. 1996. ISBN 84-7615-983-8.
- ↑ Young NP, Dyck PJ, Wijdicks EF (2007). «Locked-in syndrome due to invasive fungal rhinosinusitis in an immunosuppressed patient». The neurologist 13 (3): 158-60. PMID 17495762. doi:10.1097/01.nrl.0000263701.15487.97.
- ↑ Wang L, Shi W, Su Z, Liu X, Su H, Liu J, Liu Z, Lawton M (2015). «Endovascular treatment of severe acute basilar artery occlusion». J Clin Neurosci 22 (1): 195-198. Consultado el 20 de noviembre de 2017.




