Apudoma
| Tumor neuroendocrino | ||
|---|---|---|
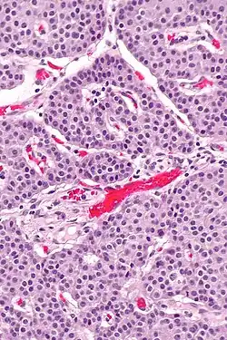
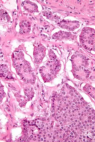
![]() Micrografía de células APUD en el intestino delgado conformando un tumor neuroendocrino. Arriba se ve el fondo de varias criptas, con forma de fondo de saco. Mediano aumento.. hematoxilna eosina | ||
| Especialidad | Oncología, Endocrinología | |
| Síntomas | Dolor, hiperglucemia o hipoglucemia, pérdida de peso, síndrome carcinoide | |
| Tipos | Tumor carcinoide, tumor neuroendocrino pancreático, feocromocitoma, paraganglioma, cáncer medular de tiroides | |
| Diagnóstico | Análisis de sangre, imagenología, biopsia de tejidos | |
| Tratamiento | Cirugía, análogo de somatostatina, interferón, quimioterapia, terapia dirigida | |
| Frecuencia | 8 casos cada 100,000 al año | |
Los apudomas[1] o tumores neuroendocrinos (NET en inglés) son un grupo de tumores que se caracterizan por su potencial para sintetizar polipéptidos con actividad de hormonas ectópicas, así como aminas biológicamente activas.
El nombre deriva de una característica de las células que lo componen, que recibieron la denominación de células A.P.U.D., (acrónimo de Amine Precursor Uptake Decarboxylation) o sea células que captan precursores de aminas y las trasforman por decarboxilación en péptidos con diferentes funciones.
Alrededor de dos tercios de los tumores neuroendócrinos se presentan en los intestinos, donde a menudo se les llama tumores carcinoides, pero también pueden formarse en el páncreas, los pulmones, el timo y otras partes del sistema endocrino. Los síntomas pueden incluir dolor, niveles altos o bajos de azúcar en la sangre y pérdida de peso.
Historia
En 1966 Szijj propuso el término Apudoma para describir un carcinoma medular de tiroides.[2]
En 1969 Feyrter denominó glándulas parácrinas endócrinas periféricas a una red constituida por células epiteliales, estructuras nerviosas y neuronas.[3]
A fines de la década 1960, Pearse postuló a estas células como si surgieran de la cresta neural (neuroectodermo). El concepto posterior es el del origen de las células APUD a partir de células madre pluripotentes antes de implantarse en diferentes órganos del cuerpo, de ahí el nombre de sistema endocrino difuso.[4][5]
Características
Los APUDomas o tumores APUD surgen de células A.P.U.D. La denominación deriva de una característica metabólica de las células A.P.U.D. (acrónimo de Amine Precursor Uptake Decarboxylation) que tienen la capacidad de captar precursores de amina y descarboxilarlas intracelularmente, antes de convertirlas en aminas activas.[6][4]
Se pueden clasificar en diferentes tipos, dependiendo de la sustancia que produzcan, los más habituales son:[7]
- Gastrinomas. Producen gastrina que ocasiona secreción de ácido por el estómago (síndrome de Zollinger Ellison).
- Insulinomas. Producen y secretan insulina de manera autónoma y ocasionan episodios de hipoglucemia.
- Feocromocitomas. Se localizan habitualmente en la médula suprarrenal y secretan adrenalina, originando entre otros síntomas hipertensión arterial.
- VIPomas. Secretan péptido intestinal vasoactivo (VIP) que ocasiona el síndrome de Verner-Morrison, el cual se manifienta por diarrea acuosa, hipopotasemia e insuficiencia renal.
- Glucagonomas. Producen glucagón y puede causar diabetes, pérdida de peso y otros síntomas.
- Somatostatinoma. Secretan somatostatina y causan diabetes mellitus, esteatorrea y colelitiasis.
Son en general tumores de pequeño tamaño, entre 15 y 25 mm de diámetro, aunque a veces son mucho mayores, múltiples y malignos. Algunos casos pueden resultar en síndrome carcinoide que se presenta con enrojecimiento y diarrea.[8][4][9]
Tipos
Cáncer Neuroendocrino Pancreático

Los tumores neuroendocrinos pancreáticos son un tipo de cáncer que comienza en el páncreas. Los tumores neuroendocrinos pancreáticos son un tipo menos común de cáncer de páncreas, conformando menos del 2% de los cánceres de páncreas, pero suelen tener un mejor pronóstico que el tipo más común.[10]
Metástasis y cambios genómicos
Existen cambios genómicos significativos que podrían estar vinculados con la progresión de la enfermedad.[11] Se encontraron cambios masivos en el paisaje genómico del cáncer neuroendocrino pancreático metastásico, con modificaciones significativas en la carga mutacional. El gen conductor CREBBP aparecía mutado exclusivamente en tumores metastásicos, no se encontró esta mutación conductora en los equivalentes de tumores primarios.
La identificación de biomarcadores específicos en tumores metastásicos podría ser crucial para comprender la resistencia a tratamientos en el cáncer neuroendocrino pancreático.
Factores de riesgo y diagnóstico
Los factores de riesgo incluyen una serie de condiciones genéticas que incluyen el síndrome de neoplasia endocrina múltiple (MEN), la neurofibromatosis y la esclerosis tuberosa.[9] Estos tumores se tratan como un grupo porque las células involucradas comparten características comunes, incluida la producción de aminas biogénicas y hormonas polipeptídicas.[12] Suelen de crecimiento lento.[9] El diagnóstico puede estar respaldado por pruebas de laboratorio, imágenes médicas y biopsia de tejido.[9]
Tratamiento y epidemiología
La enfermedad temprana puede curarse mediante cirugía.[9] Para enfermedades más avanzadas, se pueden usar análogos de somatostatina, interferón, quimioterapia y terapia dirigida.[9] Afectan aproximadamente a 8 por cada 100.000 personas al año.[9] Son más comunes en personas mayores de 50 años.[9] Los hombres y las mujeres parecen verse afectados con la misma frecuencia.[9] Los tumores neuroendocrinos fueron descritos por primera vez en 1867 por Theodor Langhans.[9]
Referencias
- ↑ «Apudomas». Descriptores en Ciencias de la Salud. Biblioteca Virtual en Salud. OMS,OPS,BIREME.
- ↑ Patiño J.F. (2000). «6-7: El Sistema Neuroendocrino: apudomas y Síndrome de Zollinger-Ellison». Lecciones de cirugía. Médica Panamericana. p. 288.
- ↑ Domenichini E. (2004). «Sistema Neuroendocrino Difuso: de la Ontogenia a la Génesis Tumoral». Revista Argentina de Endocrinología y Metabolismo 41 (Sup). Consultado el 28 de agosto de 2023.
- ↑ a b c Ahmed Elmaaz; Anup Kasi (2023). APUDoma (Continuing Education Activity) (en inglés). StatPearls / National Library of Medicine. Consultado el 28 de agosto de 2023.OA
- ↑ Jácome A.L.; Jácome Roca A. (1990). «Apudomas Pancreáticas (Parte I)». Revista Medicina. 12 (22).
- ↑ Ross M.H., Pawlina W. (2007). «cap17:Aparato Digestivo 2, Esófago estómago intestino: Intestino delgado». Histología: Texto y Atlas. Médica Panamericana. p. 580. Consultado el 24 de octubre de 2019.
- ↑ Pedro Wong Pujada, Pedro Morón Antonio, Jaime Arévalo Torres, Gilmar Hurtado Guerrero, Guillermo Alvarado Zapana: Apudomas. Consultado el 20 de febrero e 2013.
- ↑ Varas M.; Gornals J.; Ponseti J.M.; Alastruè A.; Durán C.; Llevaria C.; Ballesta C.; Díez Caballero A.; Artigas V. (2011). «Tumores endocrinos o apudomas pancreáticos.». Revista Española de Enfermedades Digestivas (Madrid: SciELO) 103 (4). doi:10.4321/S1130-01082011000400003. Consultado el 28 de agosto de 2023.OA
- ↑ a b c d e f g h i j Yalcin, Suayib (2015). «1. Introduction to neuroendocrine tumours». En Yalcin, Suayib; Öberg, Kjell, eds. Neuroendocrine Tumours: Diagnosis and Management (en inglés). Heidelberg: Springer. pp. 1-6. ISBN 978-3-662-45214-1. Archivado desde el original el 6 de febrero de 2022. Consultado el 6 de febrero de 2022.
- ↑ «¿Qué es un tumor neuroendocrino pancreático?». www.cancer.org. Consultado el 5 de enero de 2024.
- ↑ Martínez-Jiménez, Francisco; Movasati, Ali; Brunner, Sascha Remy; Nguyen, Luan; Priestley, Peter; Cuppen, Edwin; Van Hoeck, Arne (2023-06). «Pan-cancer whole-genome comparison of primary and metastatic solid tumours». Nature (en inglés) 618 (7964): 333-341. ISSN 1476-4687. PMC 10247378. PMID 37165194. doi:10.1038/s41586-023-06054-z. Consultado el 5 de enero de 2024.
- ↑ Ramage JK, Davies AH, Ardill J, et al (June 2005). «Guidelines for the management of gastroenteropancreatic neuroendocrine (including carcinoid) tumours». Gut. 54 54 (Suppl 4): iv1-iv16. PMC 1867801. PMID 15888809. doi:10.1136/gut.2004.053314.
