Agente biológico patógeno

Punto negro de la papaya, causado por Asperisporium caricae.

En biología e infectología, un patógeno (de los elementos compositivos pato- y ‒́geno, y estos del prefijo griego παθο- [patho-], ‘dolencia’ o ‘afección’, y la raíz griega γεν [guen], ‘generar’, ‘producir’),[1]​ también llamado agente patógeno, agente biológico patógeno o, comúnmente, conocido como germen, es cualquier microorganismo (agente biológico) capaz de producir alguna enfermedad o daño en un huésped, sea animal o vegetal.[2]

El mecanismo de la patogenicidad ha sido muy estudiado y tiene varios factores, algunos de los cuales son dependientes del agente patógeno, mientras que otros son dependientes del huésped. Los microorganismos o agentes descritos como patógenos son las bacterias, los protozoos, los hongos, los virus, los viroides y los priones.

La especificidad del hospedador

En biología, hospedador significa ‘el que aloja’; es decir, un hospedador es un organismo que aloja un parásito o simbionte.Un organismo puede convertirse en hospedador o ser más proclive a serlo por:

  • Factores genéticos;
  • Edad;
  • Trastornos fisiológicos;
  • Enfermedades intercurrentes o preexistentes;
  • Comportamiento o estilo de vida: Es uno de los factores más importantes para la adquisición de enfermedades humanas o animales y sobre el que más se puede intervenir pues se puede modificar mediante la educación o prevenir modificando ciertas prácticas zootécnicas:

La resistencia del hospedero

La patogenia del microorganismo está refrenada o facilitada según la resistencia inmunitaria del hospedero. Las personas correctamente vacunadas contra la viruela son inmunes a este virus. Este hecho fue descubierto por Jenner en Inglaterra, al percatarse que las ordeñadoras que habían sido afectadas por la viruela vacuna, una enfermedad propia del ganado vacuno y que se adquiría al manipular las ubres de estos animales, no sufrían la mortal viruela humana. Por otra parte, las personas afectadas de sida (síndrome de inmunodeficiencia adquirida), cuyo virus disminuye las defensas, pueden presentar enfermedades a gérmenes habitualmente inofensivos.

En psicología

Por extensión, en la psicología, también se habla de «contextos sociales» o «interacciones psicosociales patógenas». Por ejemplo, “un contexto laboral patógeno” (contexto social) o las “dinámicas familiares patógenas” (interacción psicosocial). En este sentido, se produciría psicopatología o trastorno psicológico.[cita requerida]

Algunos de los conceptos relacionados con este enfoque pueden ser la rehabilitación psicosocial y los riesgos psicosociales. Desde numerosos enfoques de la psicología, como la psicología sistémica o la psicología conductual, la patología está más en su contexto que en la persona.[cita requerida]

Tipos de patógenos

Algas

Las algas son eucariotas unicelulares que generalmente no son patógenas, aunque existen variedades patógenas. La Protothecosis es una enfermedad que se encuentra en perros, gatos, ganado y seres humanos causada por un tipo de alga verde conocida como prototheca que carece de clorofila.[3]​ Encontrada a menudo en el suelo y en las aguas residuales, la especie Prototheca wickerhami es la causante de la mayoría de los casos humanos de la rara infección de la prototecosis.[4]

Bacterias

La gran mayoría de las bacterias, que pueden oscilar entre 0,15 y 700 μM de longitud,[5]​ son inofensivas o beneficiosas para los humanos. Sin embargo, una lista relativamente pequeña de bacterias patógenas pueden causar enfermedades infecciosas. Las bacterias patógenas pueden causar enfermedades de varias maneras. Pueden afectar directamente a las células de su huésped, producir endotoxinas que dañen las células de su huésped o provocar una respuesta inmunitaria lo suficientemente fuerte como para que las células del huésped resulten dañadas.

Fotomicrografía de una deposición con disentería por Shigella. Esta bacteria suele causar enfermedades de origen alimentario

Una de las enfermedades bacterianas con mayor carga de enfermedad es la tuberculosis, causada por la bacteria Mycobacterium tuberculosis, que mató a 1,5 millones de personas en 2013, sobre todo en el África subsahariana.[6]​ Las bacterias patógenas contribuyen a otras enfermedades de importancia mundial, como la neumonía, que puede ser causada por bacterias como Streptococcus y Pseudomonas, y enfermedades transmitidas por los alimentos, que pueden ser causadas por bacterias como Shigella, Campylobacter y Salmonella. En pacientes con fibrosis quística, las bacterias Pseudomonas pueden formar una biopelícula de gran resistencia al sistema inmunitario y a los antibióticos mediante el desarrollo de mutaciones adaptativas y la producción de factores de virulencia.[7]​ Las bacterias patógenas también causan infecciones como el tétanos, la fiebre tifoidea, la difteria, la sífilis y la lepra.

Hongos

Los hongos son organismos eucariotas que pueden funcionar como patógenos. Hay aproximadamente 300 hongos conocidos que son patógenos para los humanos,[8]​ incluyendo a Candida albicans, que es la causa más común de Candidiasis, y Cryptococcus neoformans, que puede causar una forma grave de meningitis. El tamaño típico de las esporas de los hongos es de <4,7 μm de longitud, pero algunas esporas pueden ser más grandes.[9]

Priones

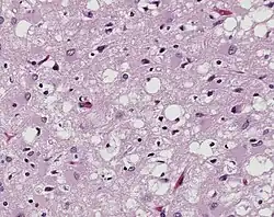
Magnificado 100× y teñido. Esta microfotografía del tejido cerebral muestra la presencia de los prominentes cambios espongióticos en la corteza, con la pérdida de neuronas en un caso de una variante de la enfermedad de Creutzfeldt-Jakob (vCJD).

Los priones son proteínas mal plegadas que son transmisibles y pueden influir en el plegamiento anormal de las proteínas normales del cerebro. No contienen ADN ni ARN y no pueden replicarse más que para convertir las proteínas normales ya existentes al estado mal plegado. Estas proteínas plegadas anormalmente se encuentran característicamente en muchas enfermedades neurodegenerativas, ya que agregan el sistema nervioso central y crean placas que dañan la estructura del tejido. Esto crea esencialmente "agujeros" en el tejido. Se ha descubierto que los priones se transmiten de tres formas: obtenida, familiar y esporádica. También se ha descubierto que las plantas desempeñan el papel de vector de los priones. Hay ocho enfermedades diferentes que afectan a los mamíferos y que están causadas por priones, como la tembladera, la encefalopatía espongiforme bovina (enfermedad de las vacas locas) y la encefalopatía espongiforme felina (EEF). También hay diez enfermedades que afectan a los humanos, como la enfermedad de Creutzfeldt-Jakob (ECJ).[10]​ y Insomnio familiar fatal (FFI).

Viroides

No debe confundirse con virusoide o virus. Los viroides son los patógenos infecciosos más pequeños conocidos. Están compuestos únicamente por una cadena corta de ARN circular de una sola hebra que no tiene recubrimiento proteico. Todos los viroides conocidos son habitantes de plantas superiores, y la mayoría causan enfermedades, cuya importancia económica respectiva en los seres humanos varía ampliamente.[cita requerida]

Virus

Los virus son pequeñas partículas, normalmente de entre 20 y 300 nanómetros de longitud,[11]​ que contienen ARN o ADN. Los virus necesitan una célula huésped para replicarse. Algunas de las enfermedades causadas por patógenos virales son la viruela, la gripe, las paperas, el sarampión, la varicela, la ebola, el VIH, la rubéola y el COVID-19.[cita requerida]

Los virus patógenos son principalmente de las familias Adenoviridae, Coronaviridae, Picornaviridae, Herpesviridae, Hepadnaviridae, Flaviviridae, Retroviridae, Orthomyxoviridae, Paramyxoviridae, Papovaviridae, Polyomavirus, Rhabdoviridae y Togaviridae. El VIH es un miembro notable de la familia Retroviridae que afectó a 37,9 millones de personas en todo el mundo en 2018.[12]

Otros parásitos

Dos oxiuros junto a una regla, midiendo en 6 milímetros de longitud

Los protozoos son eucariotas unicelulares que se alimentan de microorganismos y tejidos orgánicos. Se consideran "animales unicelulares" ya que tienen comportamientos similares a los de los animales, como la motilidad, la depredación y la falta de pared celular. Muchos protozoos patógenos se consideran parásitos humanos ya que causan diversas enfermedades como: malaria, amebiasis, giardiasis, toxoplasmosis, criptosporidiosis, tricomoniasis, enfermedad de Chagas, leishmaniasis, tripanosomiasis africana (enfermedad del sueño), Acanthamoeba, y meningoencefalitis amebiana primaria (naegleriasis).

Los gusanos parásitos (helmintos) son macroparásitos que pueden verse a simple vista. Los gusanos viven y se alimentan en su huésped vivo, recibiendo alimento y cobijo al tiempo que afectan a la forma de digerir los nutrientes del huésped. También manipulan el sistema inmunitario del huésped mediante la secreción de productos inmunomoduladores[13]​ que les permite vivir en su huésped durante años. Muchos gusanos parasitarios son más comúnmente intestinales que se transmiten por el suelo e infectan el tracto digestivo; otros gusanos parasitarios se encuentran en los vasos sanguíneos del huésped. Los gusanos parásitos que viven en el huésped pueden causar debilidad e incluso provocar muchas enfermedades. Los gusanos parásitos pueden causar muchas enfermedades tanto a los humanos como a los animales. La helmintiasis (infección por gusanos), la ascariasis y la enterobiasis (infección por oxiuros) son algunas de las causadas por diversos gusanos parasitarios.

Historia de la investigación y la comprensión

Las enfermedades infecciosas, especialmente las que se transmiten de persona a persona o de animal a persona, se han temido durante mucho tiempo como una amenaza para la vida y la salud humanas, pero las razones de su aparición no han estado claras hasta los tiempos modernos. Las dos hipótesis, la teoría del miasma propuesta en el siglo IV a. C. y la teoría del contagio propuesta en el XVI, fueron largamente discutidas, pero en el siglo XIX Robert Koch logró demostrar experimentalmente por primera vez la existencia de bacterias patógenas, y la teoría del contagio fue sustituida por la "teoría de los gérmenes", sucesora de la teoría del contagio, fue puesta a prueba. Posteriormente, se demostró que muchos microorganismos eran patógenos, incluyendo el descubrimiento de los virus.

Teorías sobre el miasma y el contagio

En tiempos más antiguos, se pensaba que las enfermedades infecciosas, al igual que otros desastres naturales, eran una especie de castigo divino, pero esta idea se fue desechando porque se propagan independientemente del estatus y la raza, y en concentraciones en un lugar, a veces en varios países con diferentes creencias. Luego, alrededor del siglo IV a. C., cuando Hipócrates estaba activo, se propuso una teoría llamada teoría del miasma (la teoría del miasma). La teoría del miasma afirma que las personas enferman cuando entran en contacto con el aire (miasma) que ha sido contaminado por alguna causa (瘴気, miasma). Aunque a partir del siglo XIX se negó la existencia del "miasma" en el centro de esta teoría, ésta supuso un importante punto de inflexión en la ciencia médica, ya que propuso por primera vez el concepto básico de patógeno, que las enfermedades son causadas por agentes exógenos. Estas antiguas ideas se mantuvieron durante mucho tiempo y aún hoy pueden verse en los nombres de enfermedades como la malaria (derivada del italiano mal aria que significa 'aire malo') y la gripe (derivada del significado 'afectado' por la navegación celeste y el aire frío).

Entre el siglo XIV y el siglo XVI, cuando se produjeron las pandemias de viruela, peste y sífilis en Europa, se reconoció vagamente la existencia de "algo que transmite la enfermedad", que no podía explicarse por el miasma, ya que la infección podía propagarse al desplazarse los enfermos de estas enfermedades infecciosas. se reconoció vagamente. En 1546, Girolamo Fracastro impulsó esta idea, proponiendo la teoría del contagio (transmisión por contacto). En ella, Fracastro propuso que la enfermedad se propaga por el contacto con organismos contagiosos vivos (contagium vivim, contagium animatum), que luego se transmiten a otros humanos. Fracastro explicó además el mecanismo de propagación del contagio clasificando las formas de transmisión en tres:

  1. a través del contacto directo con el paciente,
  2. a través de alguna forma de vector, y
  3. transmitido desde un paciente lejano (vía aérea).

Esta teoría predijo con precisión no sólo que el cuerpo principal del patógeno era un organismo, sino también su transmisión. Aunque desde una perspectiva moderna, la teoría del contagio, en lugar de la teoría del miasma, resultó estar más cerca de la verdad, en aquel momento tampoco fue posible demostrar científicamente esta teoría de Fracastro.

Por este motivo, tanto la teoría del miasma como la del contagio fueron tratadas como meras hipótesis, a pesar de la gran controversia, sin pruebas concluyentes para cada una de ellas. La gente de la época llegó a creer que tanto el miasma como el contagio podían ser responsables de algunos tipos de enfermedades.

Teorías bacterianas y ambientales

Mientras tanto, y de forma bastante independiente a esta corriente médica, en el siglo XVII, Löwenhoek descubrió varios microorganismos utilizando el microscopio y fue pionero en la disciplina de la bacteriología (microbiología). Sin embargo, la bacteriología de la época era principalmente una investigación de historia natural, y no parece que se pensara que estos microorganismos tuvieran ninguna relación con la vida humana. A finales del siglo XVIII, los avances en microbiología ya habían acumulado hallazgos de la presencia de ciertos microorganismos en el tejido patológico, la sangre y las heces de pacientes con enfermedades infecciosas, lo que constituía un importante argumento para los investigadores médicos que apoyaban la teoría del contagio. Sin embargo, como las técnicas de aislamiento y cultivo puro de las bacterias aún no se habían establecido en aquella época, no fue posible rechazar las objeciones de los partidarios de la teoría del miasma, y no se obtuvo ninguna prueba concluyente.

En el siglo XIX, Louis Pasteur hizo una importante contribución al progreso de la bacteriología al establecer métodos de cultivo líquido de bacterias. Inicialmente, trabajó en la fermentación desde el campo de la elaboración de la cerveza y no de la medicina, y a partir de ahí pasó a verificar la teoría de la generación espontánea, pero descubrió que la actividad microbiana tenía un impacto inesperado y que se dispersaban en gran número en el aire y en otros lugares, y que tenían tanto aspectos útiles como la fermentación como aspectos perjudiciales como el deterioro de los alimentos deterioro de los alimentos y otros aspectos perjudiciales para la vida humana. Desarrolló aún más esta idea en la dirección de la medicina, al teorizar que las enfermedades podrían estar causadas por sustancias putrefactas producidas por microorganismos que actúan en los seres humanos como una especie de toxina, y expresó su preocupación por el hecho de que el polvo del aire contiene muchos microorganismos y por lo peligroso que podrían ser. Ha publicado. Las ideas de Pasteur apoyaban la teoría del contagio y presentaban un nuevo concepto, la teoría de que las bacterias eran el cuerpo principal de los "organismos vivos contagiosos" (teoría de los gérmenes), tal como se describía en la teoría del contagio. Al mismo tiempo, también intentó explicar el mecanismo de patogenicidad identificando el fenómeno de la putrefacción.

En 1865, un operador de sericultura del sur de Francia le pidió orientación para controlar las enfermedades de los gusanos de seda y descubrió el microorganismo responsable de la enfermedad particulada que las causaba. Se dice que es el primer patógeno descubierto. Sin embargo, esto tampoco constituía una prueba experimental del patógeno, ya que el método de cultivo líquido de Pasteur sólo permitía cultivar una mezcla de varias bacterias y no permitía aislar y cultivar el patógeno por sí solo.

El descubrimiento por parte de Pasteur del fenómeno de la putrefacción supuso un importante apoyo a la teoría del contagio, aunque no fue una prueba concluyente. Sin embargo, Max von Pettenkofer contraatacó proponiendo un nuevo concepto, la teoría ambiental, que incorporaba el descubrimiento de Pasteur a la teoría tradicional del miasma. Pettenkofer apoyaba la teoría del miasma, que se explicaba más fácilmente en relación con la contaminación del medio ambiente (especialmente del suelo), basándose en el hecho de que el desarrollo de sistemas de alcantarillado había detenido el brote de varias epidemias. La teoría de los gérmenes de Pasteur sostenía que (1) las bacterias infectan a los seres humanos, (2) producen sustancias putrefactas en el cuerpo humano, y (3) estas sustancias putrefactas se convierten en toxinas y causan enfermedades, mientras que la teoría de Pettenkofer sostenía que (1) las bacterias del cuerpo humano (que no son patógenas como ellas) se excretan y contaminan el suelo y (2) las bacterias contaminantes se multiplican en el suelo y el agua y producen sustancias putrefactas, y (3) las sustancias putrefactas actúan sobre los seres humanos como miasma y causan enfermedades.

Prueba experimental de Koch

Algo más tarde que Pasteur, Robert Koch de Alemania comenzó a investigar las bacterias como patógenos desde el campo de la medicina. Tomando una pista de la forma en que el moho crecía en la sección transversal de una patata cortada, Koch inventó un método de cultivo sólido para las bacterias inventando un medio sólido hecho de un medio líquido solidificado con gelatina y otros materiales. A diferencia del método de cultivo líquido, el método de cultivo sólido permitió separar los agentes patógenos de una mezcla de otras bacterias como colonias separadas y realizar un cultivo puro, por lo que finalmente se pudo estudiar la patogenicidad de un solo tipo de bacteria aislada.

Koch utilizó este método para demostrar su teoría de los gérmenes según los tres principios para demostrar la patogenicidad (Principios de Henle, que corresponden a los principios de Koch 1-3), que habían sido propuestos por Jacob Henle, uno de sus antiguos profesores como estudiante. Luego, en 1876, demostró que la patogenicidad del ántrax aislado de animales que tenían ántrax satisfacía el principio de Henle. Después de esto, demostró además que el ántrax podía aislarse de los cuerpos de animales infectados experimentalmente (la cuarta condición del principio de Koch), demostrando así experimentalmente que la teoría de los gérmenes era científicamente correcta.

Además, en 1882, Koch aisló el Mycobacterium tuberculosis como patógeno de la tuberculosis humana, demostrando experimentalmente que la teoría de los gérmenes era correcta para las enfermedades humanas. Al mismo tiempo, publicó el principio de Koch, que consiste en cuatro condiciones. Este principio consta de las cuatro condiciones siguientes.

  1. Un determinado microorganismo debe encontrarse en una determinada enfermedad.
  2. Que los microorganismos puedan ser aislados.
  3. Que el microorganismo aislado puede infectar a animales susceptibles y causar la misma enfermedad.
  4. Que el mismo microorganismo puede ser aislado de la lesión.

Estas cuatro condiciones son estrictamente necesarias para que un microorganismo sea patógeno de una enfermedad concreta. Esto llevó a los investigadores médicos a centrar su atención de inmediato en la bacteriología y, a principios del siglo XX, se habían descubierto los agentes patógenos de las principales enfermedades infecciosas.

Sin embargo, con el desarrollo de la medicina después de Koch, algunos microorganismos fueron reconocidos como patógenos aunque no cumplieran todas estas condiciones (sólo dos o tres), junto con los hallazgos de otros estudios epidemiológicos y de otro tipo.

Por otro lado, Pettenkofer, que apoyaba la teoría ambiental, no estaba de acuerdo con la teoría de que el patógeno del cólera era una bacteria e intentó demostrar la corrección de su teoría realizando autoexperimentos en 1892 en los que él mismo bebió bacterias del cólera. Esto dio lugar a una afirmación en contra de la corrección de la teoría de los gérmenes, ya que el propio Pettenkofer sufrió una grave diarrea, pero no sufrió deshidratación, que se considera el principal síntoma del cólera. Sin embargo, más tarde se hizo cada vez más evidente, a partir de los resultados de los estudios de seguimiento realizados por otros investigadores, que el equilibrio entre la virulencia del agente patógeno y la resistencia del huésped determinaba el desarrollo o no de la enfermedad, y se demostró que la teoría bacteriana era la más correcta, compensando además sus deficiencias, lo que dio lugar a la teoría ambiental y a la teoría del miasma, de larga data. La larga controversia con las teorías del medio ambiente y del miasma quedó zanjada.

Debido a las circunstancias de su descubrimiento, en el siglo XIX se consideraba que todos los patógenos eran bacterias, pero más tarde, con el desarrollo de la microbiología, su clasificación avanzó y se descubrió que no sólo las eubacterias sino también los hongos y los protistas tienen propiedades (patógenas) que causan enfermedades en sus huéspedes. Además, se descubrieron virus como patógenos filtrables que siguen siendo patógenos incluso después de pasar por un filtro de cerámica sin esmaltar capaz de eliminar las bacterias, y quedó claro que los patógenos incluyen una amplia gama de microorganismos y virus además de las bacterias.

Historia del descubrimiento de los principales patógenos

Nombre de la enfermedad Año del descubrimiento Descubridor del patógeno.
Lepra 1875 Almawel Hansen (Noruega)
Ántrax 1876 Robert Koch (Alemania)
Malaria 1880 Charles Louis Alphonse Lavrand (Francia)
Fiebre tifoidea 1880 Karl Ebert (Alemania)
Tuberculosis 1882 Robert Koch (Alemania)
Cólera 1883 Robert Koch (Alemania)
Difteria 1883 Emil von Behring y Shibasaburo Kitasato
Tétanos 1884 Artur Nicolaier (Alemania)
Brucelosis 1887 David Bruce (Inglaterra)
Plaga 1894 Alexandre Yersin (Francia), Shibasaburo Kitasato (Japón)
Disentería 1898 Kiyoshi Shiga (Japón)
Sífilis 1905 Fritz Schaudinn (Alemania)
Tos ferina 1906 Jules Bordet (Francia)
Tifoidea 1909 Charles Jules Henri Nicole (Francia)

Historia de las contramedidas

La primera medida precisa y eficaz contra los agentes patógenos fue el desarrollo por parte de Jenner del método de vacunación, pero no lo aplicó debido a su falta de comprensión de sus mecanismos. El método de desinfección de Joseph Lister fue muy eficaz para reducir brotes como la septicemia causada por infecciones bacterianas durante la cirugía y otros procedimientos, pero tampoco es una solución para las infecciones comunes.

El descubrimiento del agente patógeno ha aclarado el objetivo de las contramedidas que deben tomarse, pero no ha conducido realmente al descubrimiento de medidas específicas para hacer frente a la enfermedad. Ya sea con la enfermedad de las partículas de los gusanos de seda de Pasteur o con el descubrimiento del ántrax de Koch, la idea inicial era quemar o enterrar a los individuos con el patógeno y todo lo que estuviera en contacto con él, lo que no difiere mucho de las respuestas que se habían tomado antes. La única excepción fue el uso del ántrax por parte de los Koch. Sólo se apoyó racionalmente en el descubrimiento de Koch de que el ántrax deja de funcionar a bajas temperaturas.

La primera respuesta seriamente útil fue el desarrollo por parte de Pasteur de una vacuna contra el ántrax. Esto era fundamentalmente similar a la viruela, pero era aplicable porque tenía la base teórica de inocular primero el cuerpo del animal con un patógeno debilitado y luego hacerlo inmune. Posteriormente, también desarrolló vacunas contra la rabia y el cólera del pollo. Esta tecnología permitió la vacunación contra muchas enfermedades infecciosas. Además, la sueroterapia de Kitasato et al. se basó en este principio, pero amplió enormemente la gama de aplicaciones.

Las vacunas utilizan los mecanismos de defensa biológica del ser humano, mientras que la penicilina se descubrió como método para atacar directamente a los agentes patógenos. 1929 Alexander Fleming observó que el moho azul-verde inhibía el crecimiento bacteriano, extrajo la sustancia química responsable de ello y la utilizó como penicilina. sustancia y la llamó penicilina. Esta sustancia tenía un efecto especialmente fuerte sobre las bacterias Gram-positivas. Esto estimuló la búsqueda de antibióticos secretados por microorganismos, y se descubrieron y utilizaron muchos, como la estreptomicina, que se encontró en los actinomicetos. Las enfermedades causadas por químicos y otras sustancias se denominan alergias, etc.

Virus

Los virus son organismos muy pequeños que transfieren su ADN a las células de los organismos vivos y generalmente producen más descendencia. Algunos ejemplos famosos son el virus de la gripe y el virus del Ébola. Algunos virus pueden causar fiebres altas y, en el peor de los casos, la muerte. En particular, la viruela es extremadamente poderosa, tanto en términos de infectividad como de síntomas, y se cree que innumerables personas habrán muerto para cuando se disponga de una vacuna. En Japón, incluso se construyeron Grandes Budas para prevenir la viruela, lo que demuestra lo aterrador que era.

Bacterias

Algunas bacterias, como el Streptococcus fulminans tipo A, pueden atacar a las personas a un ritmo alarmante, y en algunos casos son una amenaza más aterradora que los virus. Por ejemplo, algunas bacterias que se consideran seguras o que no causan síntomas muy graves pueden convertirse en causantes de terribles enfermedades por algo desconocido, y no hay que subestimarlas. Esto es exactamente lo que ocurrió con el Streptococcus fulminans tipo A, que se presentó anteriormente.

Véase también

Referencias

  1. «patógeno», Diccionario de la lengua española (vigésima segunda edición), Real Academia Española, 2001.
  2. Ingeniería ambiental. Escrito por J. GLYNN HENRY y MAXIM SELEZNEV, p. 279, en Google Libros
  3. Satoh K, Ooe K, Nagayama H, Makimura K (May 2010). «Prototheca cutis sp. nov., un patógeno recién descubierto de la protoecosis aislado de la piel humana inflamada». International Journal of Systematic and Evolutionary Microbiology 60 (Pt 5): 1236-1240. PMID 19666796. 
  4. «14. 6D: Algas». Biology LibreTexts. 26 de junio de 2018. Consultado el 22 de octubre de 2020. 
  5. Weiser JN (February 2013). «The battle with the host over microbial size». Current Opinion in Microbiology 16 (1): 59-62. PMC 3622179. PMID 23395472. 
  6. Zumla A, Petersen E, Nyirenda T, Chakaya J (March 2015). «Tackling the tuberculosis epidemic in sub-Saharan Africa--unique opportunities arising from the second European Developing Countries Clinical Trials Partnership (EDCTP) programme 2015-2024». International Journal of Infectious Diseases. Número especial: Conmemoración del Día Mundial de la Tuberculosis 2015 32: 46-9. PMID 25809755. 
  7. Malhotra S, Hayes D, Wozniak DJ (junio de 2019). «Cystic Fibrosis and Pseudomonas aeruginosa: the Host-Microbe Interface». Clinical Microbiology Reviews 32 (3): e00138-18, /cmr/32/3/CMR.00138 -18.atom. PMC 6589863. PMID 31142499. doi:10.1128/CMR.00138-18. 
  8. «Stop neglecting fungi». Nature Microbiology 2 (8): 17120. July 2017. PMID 28741610. 
  9. Yamamoto N, Bibby K, Qian J, Hospodsky D, Rismani-Yazdi H, Nazaroff WW, Peccia J (October 2012). «Particle-size distributions and seasonal diversity of allergenic and pathogenic fungi in outdoor air». The ISME Journal 6 (10): 1801-11. PMC 3446800. PMID 22476354. 
  10. Prusiner SB (January 1995). «The prion diseases». Scientific American 272 (1): 48-51, 54-7. Bibcode:a..48P 1995SciAm.272 a..48P. PMID 7824915. 
  11. «Rama de Patógenos Especiales Virales | [26] Moved | CDC». Archivado desde el original el 6 de mayo de 2009. 
  12. «Estadística mundial». HIV.gov. julio 2019. Consultado el 4 de octubre de 2019. 
  13. Jirillo E, Magrone T, Miragliotta G (2014). «Respuesta inmunitaria a las infecciones parasitarias». www. eurekaselect.com (en inglés). ISBN 9781608059850. Consultado el 22 de octubre de 2020.