Adrenoleucodistrofia
| Adrenoleucodistrofia | ||
|---|---|---|
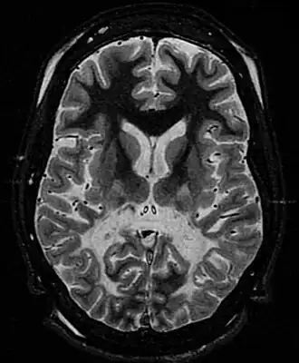
![]() Sustancia blanca, con volumen reducido y aumento de la intensidad de la señal. La sustancia blanca anterior está respetada. Las características son compatibles con la adrenoleucodistrofia ligada al cromosoma X. | ||
| Especialidad |
endocrinología genética | |
| Sinónimos | ||
| Deficiencia de ABCD1; adrenoleucodistrofia ligada al cromosoma X; adrenoleucodistrofia recesiva ligada al cromosoma X; adrenomieloneuropatía del adulto; adrenomieloneuropatía del adulto recesiva ligada al cromosoma X; enfermedad de Bronze-Schilder; esclerosis cerebral difusa de Schilder; encefalitis periaxialis concéntrica; encefalitis periaxialis de Schilder; enfermedad de Siemerling-Creutzfeldt; esclerosis cerebral sudanofílica; enfermedad de X-ALD; adrenoleucodistrofia ligada al cromosoma X; enfermedad de X-ALD ligada al cromosoma X | ||
La adrenoleucodistrofia es una enfermedad hereditaria transmitida por el cromosoma X incluida en el grupo de las leucodistrofias. Produce una desmielinización intensa y la muerte prematura en niños. La adrenomieloneuropatía se asocia a una neuropatía mixta, motora y sensorial, con paraplejía espástica en los adultos. ambos procesos cursan con niveles circulantes elevados de ácidos grasos de cadenas muy largas (very long-chain fatty acids, VLCFA) que provocan varios trastornos incluida la insuficiencia suprarrenal.[1]
Bioquímica de la adrenoleucodistrofia
La adrenoleucodistrofia (ALD), es una patología producida por el incorrecto funcionamiento del peroxisoma, un orgánulo celular. Este trastorno es consecuencia del mal funcionamiento del metabolismo de los VLCFA . Estos ácidos grasos de cadena larga deben ser rotos por los peroxisomas antes de que puedan metabolizarse en la mitocondria.
La adrenoleucodistrofia es un trastorno hereditario caracterizado por un trastorno metabólico en los VLCFA. De acuerdo con la bioquímica humana, se sabe que los ácidos grasos de hasta 20 carbonos pueden entrar en la beta oxidación llevada a cabo en la mitocondria. Pero, si el ácido graso posee más de 20 carbonos, necesita la presencia de otro orgánulo, el peroxisoma. Este, con ayuda de enzimas especializadas, va degradando los VLCFA hasta que alcanzan una longitud máxima de 8 carbonos. A partir de ahí, el proceso de beta oxidación continúa en la mitocondria.
Esta enfermedad se caracteriza por la presencia de una degeneración progresiva de la corteza suprarrenal, lo que produce una insuficiencia suprarrenal o Enfermedad de Addison, asociada a la desmielinización de la sustancia blanca del sistema nervioso central (sistema formado por el encéfalo y la médula espinal), con pérdida de la cubierta de mielina (vaina de sustancia blanca que recubre los nervios) de un tipo de fibras nerviosas del cerebro.
Genética y fisiopatología

La ALD es causada por mutaciones en el gen ABCD1, ubicado en el cromosoma X brazo largo posición q28 (153,724,856-153,744,755) con 19,900 pares de bases y demuestra herencia recesiva. El gen ABCD1 codifica la proteína ABCD1 un transportador de membrana peroxisomal que es responsable del transporte del sustrato de ácidos grasos de cadena muy larga en los peroxisomas para su degradación.[2] Las mutaciones en este gen son las que originan este síndrome.
En primera instancia, la ALD se asociaba a una deficiencia de la enzima CoA ligasa peroxisomal de ácidos grasos de cadena muy larga, enzima que une la coenzima A con un ácido graso. Sin embargo, investigaciones recientes han demostrado que el fallo no es propiamente de esta enzima, sino de la presencia de una proteína en la membrana del peroxisoma, la Adrenoleukodystrophy protein (ALDP), codificada por el gen mutado ABCD1. Esta proteína impide el ingreso de VLCFA para su beta oxidación, provocando su acumulación tanto en tejidos como en circulación, lo que desencadena los síntomas propios de la enfermedad.[1]
Formas de presentación clínica
Las formas de adrenoleucodistrofia ligadas al cromosoma X son las siguientes: Adrenoleucodistrofia de aparición en la niñez. Esta forma de la adrenoleucodistrofia ligada al cromosoma X suele aparecer entre los 4 y los 10 años. La sustancia blanca del cerebro se daña progresivamente (leucodistrofia), y los síntomas empeoran con el tiempo. Si no se diagnostica de manera temprana, la adrenoleucodistrofia de aparición en la niñez puede producir la muerte en cinco a diez años.
Adrenomieloneuropatía. Esta forma de adrenoleucodistrofia de aparición en la adultez es un tipo menos grave y de evolución lenta que provoca síntomas, como marcha rígida y mal funcionamiento de la vejiga y de los intestinos. Las mujeres que son portadoras de la adrenoleucodistrofia pueden padecer una forma leve de adrenomieloneuropatía.
Tratamiento
Los médicos utilizan una mezcla de ácido oleico y ácido erúcico conocida como el "aceite de Lorenzo" como tratamiento. Se trata de una mezcla de ácidos grasos que reduce los niveles de ácidos grasos de cadena muy larga, los cuales son la causa principal de la adrenoleucodistrofia (ALD), por medio de la competencia por la enzima.
El New England Journal of Medicine en 2005, reportó que en unas pruebas con varios individuos que sufrían de adrenomieloneuropatía no encontraron evidencias satisfactorias. Sin embargo, en el trabajo de Moser (entre ellos el propio Odone)[3] se recoge que de 89 niños diagnosticados de ALD-X que eran asintomáticos y que empezaron a tomar el aceite de Lorenzo en ese instante, tan sólo en un 24% de los casos terminaron desarrollando anomalías recogidas en resonancia magnética y en un 11% anomalías de neuroimagen y neurológicas, con control del deterioro en el resto de los niños (76 y 89%, respectivamente). En algunas ocasiones se puede tratar con esteroides suplementarios, tales como el cortisol, si la glándula suprarrenal no está produciendo suficientes hormonas; y para la adrenoleucodistrofia ligada al cromosoma X, se podría llevar a cabo un proceso de trasplante de médula ósea para poder curar a las personas que tienen esta enfermedad.
Referencias
- ↑ a b Alsaleem, Mahdi; Saadeh, Lina (2024). Adrenoleukodystrophy. StatPearls Publishing. Consultado el 9 de febrero de 2024.
- ↑ Hung K-L., Wang J-S. Keng W.T., Chen H-J., Liang J-S., Ngu L.H., Lu J-F (septiembre de 2013). «Mutational Analyses on X-Linked Adrenoleukodystrophy Reveal a Novel Cryptic Splicing and Three Missense Mutations in the ABCD1 Gene». Pediatric Neurology 49 (3): 185-190. PMID 23835273. doi:10.1016/j.pediatrneurol.2013.04.021.
- ↑ Moser, HW; Raymond GV, Lu S-E, Muenz LR, Moser AB, Xu J, Jones RO, Loes DJ, Melhem ER, Dubey P, Bezman L, Brereton NH, Odone A (2005). «Follow-up of 89 asymptomatic patients with adrenoleukodystrophy treated with Lorenzo's Oil.». Archives of Neurology 62 (7): p. 1073-80. PMID 16009761. doi:10.1001/archneur.62.7.1073.
Enlaces externos
- Una terapia génica tiene éxito contra la enfermedad ALD Archivado el 24 de diciembre de 2007 en Wayback Machine.
- La alternativa al aceite de Lorenzo se encuentra en París
